Before & After Smile Gallery
-
Before
After
Before: Missing Front Teeth
After: Implants Placed And Final Restoration Done With Implant Bridge
-
Before
After
Before: Missing Front Tooth
After: Implant Placed And Restored With Implant Crown Also Replaced Front Crowns To Match With Implant Crown
-
Before
After
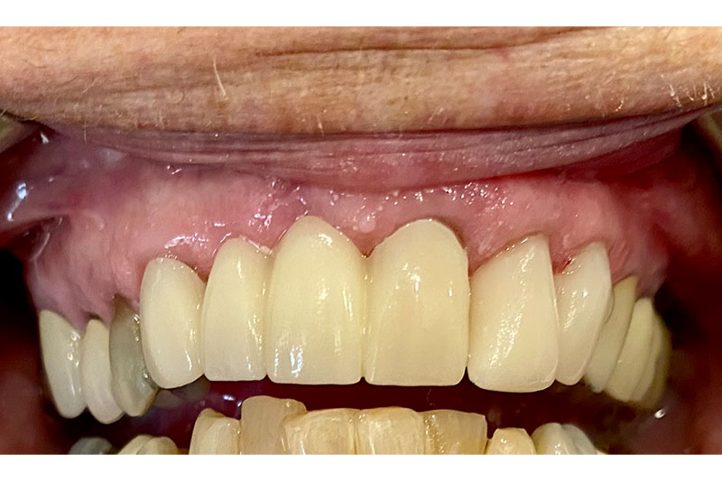
Before: Discolored Teeth That Aren’t Straight
After: Same Day Cerec Crown Used To Straighten Teeth And Match Existing Crowns On Other Front Teeth
-
Before
After
Before: Fractured Root
After: Surgical Extraction Of Fractured Tooth And Root With Implant Placed At Time Of Extraction
-
Before
After
Before: Broken front teeth with cavities
After: Same day Cerec Crowns and Veneers
